안녕하세요. 강남 24시 동물병원 24시온숲동물의료센터입니다.
“갑자기 뒷다리를 못 쓰고, 평소와는 다른 고통스러운 울음을 낸다면…?”
이런 상황이 보인다면, 고양이 ATE(Arterial Thromboembolism, 대동맥 혈전색전증)을 반드시 의심해야 합니다. 오늘은 실제 내원한 환자 사례를 통해 ATE의 진단, 치료, 그리고 예후까지 자세히 알려드리겠습니다.

고양이 ATE 케이스 – 갑작스러운 후지마비로 내원
이번 환자는 2살령 뱅갈 고양이로, 보호자분께서 “평소와 달리 아파하는 듯한 울음을 내며 앞다리로만 걸어 다닌다”고 내원하셨습니다. 환자는 배변을 위해 화장실로 가지 못하고, 바닥에 옆으로 누워만 있는 상태였습니다.
고양이 ATE(대동맥 혈전색전증) 진단
신체검사
내원 시 후지 파행이 실시간으로 심해졌으며, 양쪽 뒷다리의 냉감(차가움)이 뚜렷하게 확인되었습니다. 정확한 원인을 파악하기 위해 흉부 방사선, 심장 초음파 검사를 진행했습니다.
영상 및 심장검사

내원 시 흉부방사선 검사/ 출처: 24시온숲동물의료센터
흉부 방사선 검사: 2살의 어린 나이임에도 불구하고 심장이 비정상적으로 크게 비대되어 있었습니다.



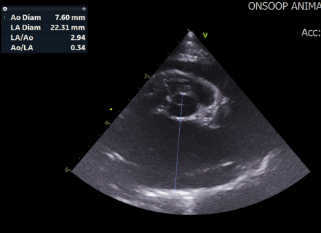
심장초음파 검사 결과 / 출처: 24시온숲동물의료센터
심장 초음파 검사: HCM(비대성 심근병증) 과 SAM(승모판연관 이첨판전방이동) 소견이 확인되었습니다.


복부 대동맥 초음파 검사 / 출처: 24시온숲동물의료센터
복부 대동맥 초음파 검사
복부 대동맥 분지부와 대퇴동맥 내에서 국소적 혈전(폐색) 이 관찰되었습니다.
이러한 결과는 좌심방압 상승과 혈류의 와류로 인해 혈전이 형성된 전형적인 ATE의 기저 질환 패턴과 일치했습니다.
고양이 ATE(대동맥 혈전색전증) 치료
검사 결과, 환자는 심장성 혈전으로 인한 대동맥 혈전색전증(ATE)으로 진단되었습니다. 보호자 상담 후 즉시 혈전 용해제 투여가 진행되었으며, 이 질환은 발병 3일 이내 사망률이 매우 높은 응급 질환이기 때문에, 신속한 대응이 예후를 결정짓는 핵심이었습니다. 이에 따라 다음과 같은 집중 치료가 병행되었습니다.
– 진통 및 항응고 치료: 막힌 혈관의 혈전을 녹여 혈류를 회복시키기 위해 혈전 용해제 투여, 통증 완화와 함께 더 큰 혈전이 생기지 않도록 관리
– 순환 개선: 수액요법 및 혈류 순환 촉진 약물 투여로 혈류 공급 유지
입원 치료 이후부터 환자의 뒷다리 온도가 점차 회복되었고, 부분적인 다리 움직임이 다시 관찰되었습니다. 내원 초반 과민하고 공격적이던 행동도 점차 안정되었습니다.
이후 환자는 합병증 없이 무사히 퇴원하였고, 현재는 보호자님과 함께 재발 방지를 위한 심장 관리 계획을 세우며 꾸준히 모니터링 중입니다.
이번처럼 젊은 나이의 고양이에서도 심장 이상이 원인이 되는 경우가 많습니다. 따라서 연령과 관계없이 주기적인 심장 초음파 검진을 통해 조기에 이상을 발견하는 것이 중요합니다.
ATE란 무엇인가요?
ATE(대동맥 혈전색전증)은 심장에서 떨어져 나온 혈전이 대동맥 하부를 막아, 주로 뒷다리로 가는 혈류를 차단하는 응급 순환계 질환입니다. 갑작스러운 후지마비, 심한 통증, 다리 온도 저하가 주요 증상으로, 심근비대증(HCM) 이나 심부전 같은 기저 심장 질환이 있는 고양이에게서 자주 발생합니다.
고양이 ATE의 주요 증상
갑작스러운 후지마비 (특히 양쪽 뒷다리)
다리 온도 저하, 발바닥 창백
극심한 통증으로 인한 울음
호흡 곤란, 청색증 (심장 질환 동반 시)
식욕 저하, 무기력, 움직임 거부

이 중 하나라도 해당된다면, 즉시 병원 내원 및 영상검사가 필요합니다.
재발 방지 및 보호자 관리
ATE(대동맥 혈전색전증)은 한 번 회복하더라도 재발 위험이 매우 높은 질환입니다. 그 이유는 근본적인 원인인 심근비대증(HCM) 이나 심장 내부 혈류 이상(SAM 등) 이 완전히 사라지지 않기 때문입니다. 따라서 퇴원 후 관리의 핵심은 심장 기능을 안정적으로 유지하고, 혈전이 다시 생기지 않도록 예방하며, 작은 변화도 놓치지 않는 것입니다.
① 심장병 관리
ATE는 대부분 심장 질환, HCM(비대성 심근병증)과 밀접하게 연관되어 있습니다. 따라서 심장 상태를 장기적으로 관리하는 것이 재발 방지의 가장 중요한 포인트입니다. 심장 초음파 결과에 따라 처방된 이뇨제, 베타차단제, ACE 억제제 등은 심장 내 압력을 낮추고 혈류의 와류를 줄여 혈전 형성을 방지합니다. 약 복용을 임의로 중단하거나 용량을 줄이는 것은 절대 금물이며, 수의사와의 상담을 통해 주기적으로 조정해야 합니다.

② 정기 검진
퇴원 후에도 정기적인 검진을 통해 심장의 구조적 변화와 혈전 위험도를 지속적으로 평가해야 합니다.
심장초음파 검사 (3~6개월 간격)
혈액검사
혈압검사
정기적인 모니터링을 통해 합병증 발생을 예방해야 합니다. 정기 검진은 단순한 추적이 아니라, “다음 ATE를 막기 위한 예방 진단”의 개념으로 접근해야 합니다.
③ 가정 내 관찰 포인트
집에서도 보호자가 꾸준히 아이의 상태를 살피는 것이 재발을 막는 가장 현실적인 방법입니다.
아래 4가지는 매일 확인해주셔야 할 핵심 항목입니다.
1️⃣ 보행 상태
- 뒷다리를 끌거나 점프를 망설이는 행동은 혈류 이상 신호일 수 있습니다.
– 평소보다 움직임이 둔해졌다면 즉시 병원으로 연락하세요.
2️⃣ 다리 온도와 발바닥 색깔
– 한쪽 다리가 차갑거나 발바닥이 창백해진다면 혈류가 막힌 초기 증상일 수 있습니다.
– 온도나 색 변화는 재발의 가장 빠른 징후 중 하나입니다.
3️⃣ 식욕 및 행동 변화
– 식사량이 줄거나, 숨소리가 거칠고 무기력한 모습이 보인다면 심장 기능 저하나 순환 장애의 가능성을 의심해야 합니다.
4️⃣ 배변·배뇨 패턴
– 변비, 배뇨량 감소, 배변 시 힘을 주는 행동 등은 탈수나 혈류 저하의 신호일 수 있습니다.
이 중 한 가지라도 평소와 다르다면, “조금 더 지켜보자”보다는 즉시 병원에 문의하는 것이 안전합니다.

고양이 ATE는 단순히 다리 마비를 일으키는 질환이 아니라, 심장에서 시작되어 전신 혈류를 위협하는 심혈관계 응급 질환입니다. 그러나 꾸준한 심장 관리, 정기 검진, 보호자의 세심한 관찰이 함께 이루어진다면 재발 위험은 크게 낮출 수 있습니다.
24시온숲동물의료센터는 ATE와 같은 응급 심혈관 질환에 대해 진단부터 치료, 재활, 추적 관리까지 한곳에서 진행할 수 있는 통합 시스템을 갖추고 있습니다. 응급 상황에서도 전문 의료진의 빠른 대처와 정확한 진단을 바탕으로 환자의 상태를 세밀하게 평가하고, 정밀하고 체계적인 진료를 이어갑니다.
아이의 두 번째 위기를 막는 가장 확실한 방법 — 바로 꾸준한 관리와 빠른 대응입니다. 온숲이 그 과정을 함께하겠습니다.
24시온숲동물의료센터는 강남구 역삼동에 위치해 있으며, 언제나 열려있는 24시동물병원입니다.
갑작스러운 사고, 응급상황에도 신속하게 대응할 수 있도록 숙련된 의료진과 응급 장비를 항상 준비하고 있습니다.
보호자와 아이 모두 안심할 수 있는 따뜻한 진료, 24시온숲동물의료센터가 함께합니다.





