강아지 후두골 이형성·COMS·Syrinx 케이스

안녕하세요. 강남 24시 동물병원  24시온숲동물의료센터입니다.

고령 반려견에서 발생하는 보행 문제는 흔히 “노화로 인한 약화”로 여겨지기 쉽습니다. 하지만 실제로는 신경계 질환이 서서히 진행될 때 나타나는 초기 신호인 경우가 적지 않습니다. 오늘 소개해드릴 사례는 고령·저체중·복합 신경질환이라는 어려운 조건 속에서도 온숲의 정확한 진단 + 노령견 맞춤 치료 전략 + 재활치료 체계를 통해 안정적으로 관리되고 있는 실제 치료 과정을 담고 있습니다.

강아지 후두골 이형성·COMS·Syrinx 치료 케이스 – 16살의 치와와

환자는 16살의 중성화된 암컷 치와와로 보호자님은 “최근 자꾸 넘어지고, 잘 서 있지 못한다”며 응급으로 내원하셨습니다. 자세한 병력 확인 과정에서, 단시간에 발생한 문제가 아니라 오랜 기간 천천히 지속되어 온 신경·보행 이상이 드러났습니다.

1) 문진과 신체검사 – 수년간 진행된 변화들

이 환자는 매우 오랜 기간 신경계 증상이 서서히 지속되어 왔습니다. 

  • 5–6년 전: 양측 전지 knuckling 시작
    (발등을 바닥에 대고 걷는 자세)
  • 3년 전: 전지가 X자로 교차, 서 있을 때 악화
  • 1–2년 전: 시력·청각 저하 의심, 밥 먹기 어려움
  • 2024년 6월: 침대 낙상 → 전지 knuckling,
    후지 wide based stance(다리를 넓게 벌리고 버티는 자세) 심해짐
  • 8월 이후: 대소변 실수 등의 인지기능장애 증상, 미끄러짐 증가
  • 10월: 기립 불가로 악화
  • 최근: 보행 중 좌측 후지를 바깥으로 차는 양상, 새벽에 무기력 상태, 배뇨 패턴 변화

오랜 기간 누적된 변화는 결국 보행 기능 약화 → 균형 상실 → 기립 불가로 이어졌고, 신경학 검진이 필요한 상황이었습니다.

2) 신경학 검사 – 감각·운동 반응 모두 지연

온숲 의료진은 전면적인 신경학 검사를 통해 현재 기능을 평가했습니다.

  • 사지 고유자세반응 모두 지연
  • 양측 후지 강직
  • wide based stance
  • 경부 통증 반응은 없음
  • 좌측 후지를 바깥으로 차며 걷는 보행 변화

검사 결과를 종합하면 소뇌성 강직 증상 + 흉요추 디스크 + 후두골 이형성(COMS 포함) 등이 주요 의심 질환으로 판단되는 상황이었습니다.

3) 1차 재진

며칠 뒤 보호자님은 “30분 전에 갑자기 아이가 큰 소리를 지르며 비명을 질렀다”고 말씀하셨습니다.

  • 품에 안아 올리자 비명은 곧 멎었고, 이후에는 다시 비교적 잘 서 있는 상태로 회복
  • 처방된 내복약은 잘 먹고 있었지만 진정 효과는 크지 않은 상태였습니다.

이러한 간헐적인 격한 통증·비명 + 진행성 신경 증상을 고려해, 보호자님과 충분한 상담 끝에 MRI 촬영을 진행하기로 결정했습니다.

4) 마취 전 검사 및 MRI 

16살, 2kg의 초고령 소형견이기 때문에 MRI 촬영 전 마취 안전성 평가가 무엇보다 중요했습니다.

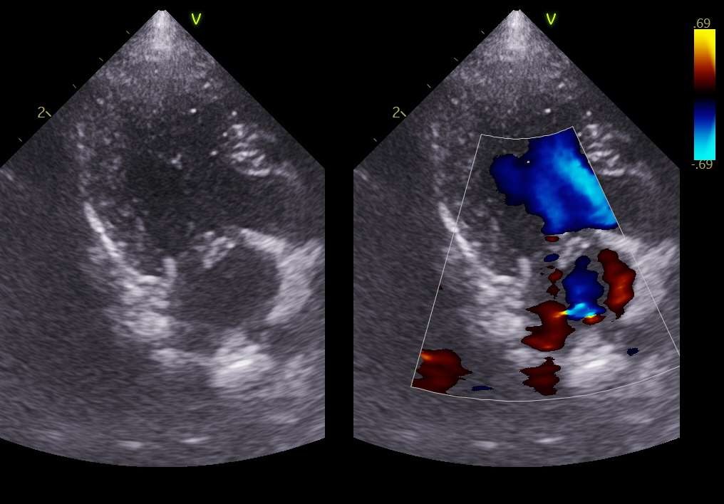
✔ 심장 검사

초기 단계의 심장 질환이 있었으나 적절한 모니터링 하에 마취 가능한 수준으로 판단되었습니다.

환자의 심장 검사 / 출처: 24시온숲동물의료센터

✔ 혈액·방사선 검사

전신 컨디션은 마취에 큰 무리가 없는 것으로 확인되었습니다. 오전에는 수액 치료를 통해 상태를 안정화하고,
오후에 전신 마취 하에 MRI 촬영을 진행했습니다.

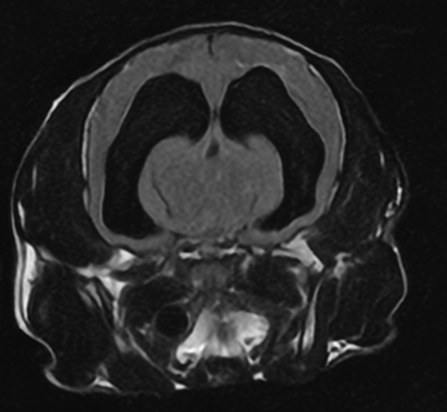
  • MRI 결과

MRI에서는 아래의 복합 병변이 모두 확인되었습니다.

MRI 검사 결과 / 출처: 온숲동물의료센터

craniocervical anomaly(두개·경추부 기형)

뇌에서 척수로 이어지는 출구가 선천적으로 좁은 상태라 뇌와 신경줄기를 #강아지척수고계속 압박하고 있는 구조

AA band

뇌 뒤쪽 공간을 누르면서 뇌척수액 흐름을 방해하는 얇은 밴드 같은 조직이 있어 신경 압박을 더 심하게 만드는 요소

COMS(Caudal Occipital Malformation Syndrome)

후두골이 비정상적으로 형성되어 뇌줄기 주변을 압박하는 기형

Hydrocephalus(뇌수종)

뇌척수액이 원활하게 빠져나가지 못하면서 뇌 안에 물이 점점 차 압력이 증가하는 상태입니다.

Syrinx(척수 공동증)

척수 내부에 액체가 고여 빈 공간(공동)이 생겨 신경 기능이 떨어지고 통증이 발생하는 상태

Cervical IVDD(경추 디스크 질환)

 목뼈 사이 디스크가 튀어나와 신경을 자극하거나 압박하는 질환

즉, 구조적 기형 + 척수 병변 + 디스크 질환이 동시 존재하는 고난도 신경질환이었습니다.

일반적으로 일부 병변은 수술적 치료가 필요할 수 있으나, 이 환자의 나이·체중·다발성 병변을 고려하면 전신마취와 회복 과정에서의 위험이 매우 큰 상황이었습니다. 이에 의료진은 내과적 약물 치료와 신경 재활치료 중심의 장기 관리 전략을 선택했습니다.

이 방식은 고령 환자에게 가장 현실적이면서도삶의 질 개선 효과가 기대되는 치료 방향으로, 안전성과 지속 가능성을 최우선으로 둔 결정이었습니다.

5) 약물치료와 신경 재활치료 

① 첫 재활(11/4)

보행 분석 결과, 환자는 체중의 대부분이 앞다리에 몰린 전방 체중 집중 패턴을 보였습니다. 이는 작은 움직임에도 쉽게 쓰러지는 원인이 되며, 경추·어깨 주변 통증을 유발하는 구조입니다.

이 환자에게 설정한 재활 목표는 다음과 같습니다.

  • 통증·불편감 감소
  • 체중 분포 안정화
  • 경추·흉요추 근육 보조
  • 점진적 보행 교정

초기에는 과도한 운동보다는 안정적인 기립 보조와 통증 관리가 중요했기 때문에 레이저 치료, 흉요추 저주파 자극, 근육 긴장 완화 치료를 중심으로 진행했습니다.

환자의 재활치료 사진 / 출처: 24시온숲동물의료센터

또한 밥을 먹을 때 고개를 깊게 숙여야 하는 자세가 신경 압박을 악화시키는 요인이 될 수 있어, 얕은 식기를 약간 높여 사용하도록 안내했고, 움직이기 전 온찜질을 통해 경직된 근육을 부드럽게 풀어주는 생활관리도 함께 권장했습니다.

목 보호대는 체중이 뒤쪽으로 조금 더 이동하는 변화가 보일 때 적용하는 것이 더 효과적이기 때문에, 변화가 확인되면 피팅을 진행하기로 했습니다.

② 두 번째 재활(11/8)

두 번째 재활 방문에서는 보호자님이 환자의 기립, 보행이 약간 개선되었다고 하셨습니다. 환자의 경우 만성 진행성 질환으로 완만한 개선이 정상적인 경과입니다. 

환자의 재활치료 사진 / 출처: 24시온숲동물의료센터

현재는 통증·긴장 완화 + 안정적인 보행 기반 마련에 중점을 두고 있으며, 체중이 후지 쪽으로 더 안정적으로 이동하면 집에서도 가능한 경추 근육 강화 운동, 흉추 가동성 회복 운동을 단계적으로 교육할 예정입니다.

고령이라 수술이 어려운 경우, 재활과 내과치료의 역할

이 환자처럼 16살의 고령, 복합적인 신경·심장 상태를 가진 경우 항상 수술이 정답이 되는 것은 아닙니다. 

이번 케이스에서는

  • 내복약(통증 조절·신경 보호)
  • 재활장비(레이저, 저주파 등)를 이용한 통증·긴장 완화
  • 환경·자세·급여 방식 개선 을 통해,

보호자님이 “확실히 좋아졌다”고 느낄 정도로 일상 기능이 개선되고 있습니다.

온숲의 세 가지 진료 가치

1. 고령 환자에게도 포기하지 않는 치료 전략

온숲은 “할 수 없는 것”이 아니라 지금 상태에서 가장 안전하고 실질적인 치료에 집중합니다. 내과치료와 재활치료를 병행해 완치는 어렵더라도 더 편안한 일상을 만드는 데 목적을 둡니다.

2. 외과·내과·신경·재활이 한 공간에서 연결되는 협진 시스템

COMS, syrinx, 디스크처럼 복합 병변이 있는 신경 환자는 한 과만으로 해결되지 않습니다. 온숲은 여러 전공의가 함께 케이스를 논의하며 한 병원 안에서 통합 진료가 가능합니다.

3. 직접 보고, 만지고, 코칭하는 재활팀의 존재

전문 재활 수의사·치료사가 상주해 보행·자세·체중 분배를 직접 평가하고 집에서 가능한 운동과 환경 세팅까지 구체적으로 안내합니다. 이는 고령 신경 환자의 치료 결과에 큰 차이를 만드는 요소입니다.

강아지가 자꾸 넘어진다면, 단순 노화로 넘기지 마세요

  • 반복되는 넘어짐
  • 발등을 바닥에 대는 knuckling
  • 갑작스러운 비명
  • 보행 중 다리가 한쪽으로 밀리는 모습

이런 증상은 후두골 이형성, COMS, syrinx, 경추·흉요추 디스크처럼 중요한 신경계 질환의 신호일 수 있습니다. 조기에 정확한 진단과 치료 방향을 잡는다면 고령견이라도 통증을 줄이고 더욱 안정된 일상을 되찾을 수 있습니다.

강남구 역삼동 24시온숲동물의료센터는 신경과·내과·영상진단·재활이 긴밀하게 협력하는 통합 신경 진료 시스템을 운영하고 있습니다. 강아지의 보행 이상이나 설명하기 어려운 통증이 걱정된다면 혼자 고민하지 마시고 전문 진료를 받아보시길 권합니다.

24시온숲동물의료센터는 강남구 역삼동에 위치해 있으며, 언제나 열려있는 24시동물병원입니다.
갑작스러운 사고, 응급상황에도 신속하게 대응할 수 있도록 숙련된 의료진과 응급 장비를 항상 준비하고 있습니다.
보호자와 아이 모두 안심할 수 있는 따뜻한 진료, 24시온숲동물의료센터가 함께합니다.