안녕하세요. 강남 24시 동물병원 24시온숲동물의료센터입니다.
강아지가 갑자기 기운이 없고, 물을 유난히 많이 마시며 소변이 잦아진다면 단순한 노화나 더위 때문이라고 생각하기 쉽습니다. 하지만 중성화하지 않은 암컷 강아지라면, 이런 변화가 치명적인 질환인 자궁축농증(Pyometra) 의 신호일 수 있습니다. 자궁축농증은 발정 주기 후 호르몬 변화로 인해 자궁 안에 세균이 증식하고 고름이 차는 질환으로, 발견이 늦어지면 패혈증과 신부전, 심한 경우 사망까지 이어질 수 있는 응급 상황입니다.
오늘은 자궁축농증에 대한 자세한 설명과 함께, 실제 온숲동물의료센터에서 치료한 사례를 소개해드리겠습니다.

자궁축농증이란?
자궁축농증(Pyometra)은 중성화하지 않은 암컷 강아지에서 흔히 발생하는 심각한 자궁 질환입니다. 발정 주기 이후 프로게스테론 호르몬이 증가하면 자궁 내막이 두꺼워지고, 자궁의 면역력이 떨어집니다. 이때 세균이 침입하면 자궁 안에 고름이 가득 차게 됩니다.
주로 발정이 끝난 뒤 1~2개월 내에 발생하며, 6세 이상의 중·노령견에서 특히 위험합니다. 주요 위험 요인은 다음과 같습니다.
- 중성화를 하지 않은 경우
- 반복적인 발정을 경험한 경우
- 자궁내막염 병력이 있는 경우
방치 시 패혈증, 복막염, 신부전으로 이어져 단기간에 사망할 수 있어, 응급질환 중 하나로 꼽힙니다.

자궁축농증의 증상
자궁축농증의 주요 증상은 다음과 같습니다.
- 기력 저하, 무기력
- 물을 유난히 많이 마시고 소변량 증가 (다음다뇨)
- 구토, 식욕 부진
- 복부 팽창, 체중 증가처럼 보이는 현상
- (개방성일 경우) 고름, 혈액이 섞인 분비물 배출

분비물이 없다고 해서 자궁축농증을 배제할 수 없습니다. 조기 검진만이 아이의 생명을 지키는 길입니다.
자궁축농증 수술 사례 – 10살의 진도믹스
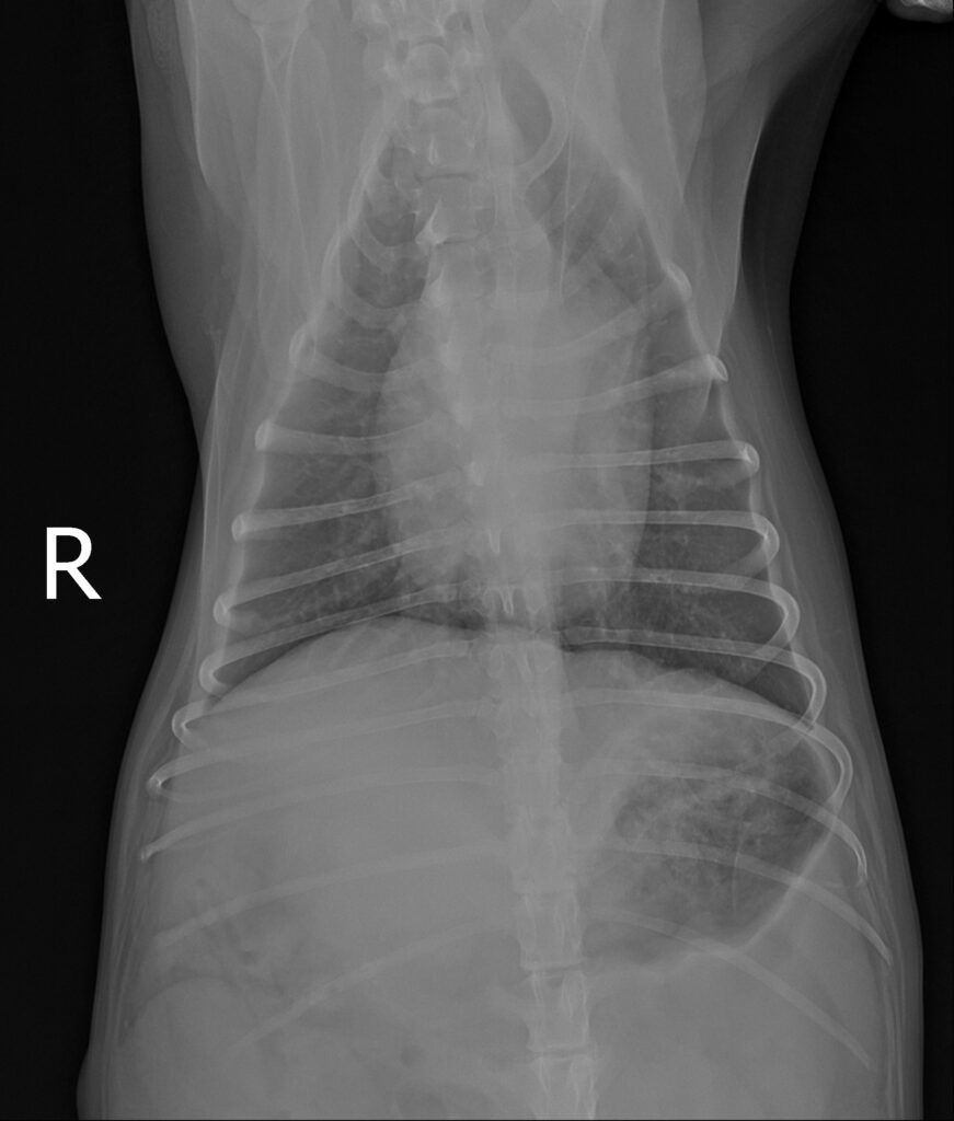
최근 10살의 17kg 암컷 믹스견이 내원했습니다. “며칠 전부터 기력이 없고, 물을 유난히 많이 마시고 소변도 많아졌어요. 변도 약간 무른 편이에요” 라며 걱정하셨습니다. 환자는 중성화를 하지 않은 상태였고, 과거 4개월 전 건강검진에서는 이상이 없었다고 하셨습니다. 정확한 검진을 위해 혈액검사, 복부 초음파 검사, 흉복부 방사선 검사를 진행하였습니다.
검사 결과


혈액검사 결과 / 출처: 24시온숲동물의료센터
혈액검사 결과
- CRP(염증 수치): 환자의 수치는 9.1으로 정상 범위를 초과한 수치가 확인되었습니다.
- 가벼운 빈혈이 확인되었습니다.



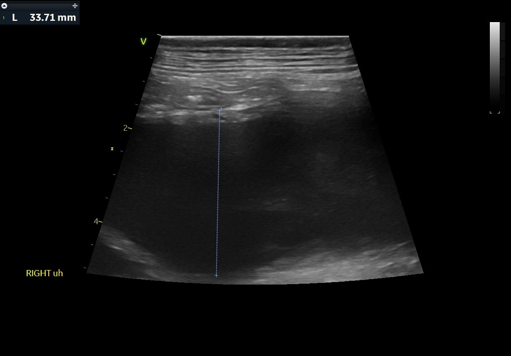
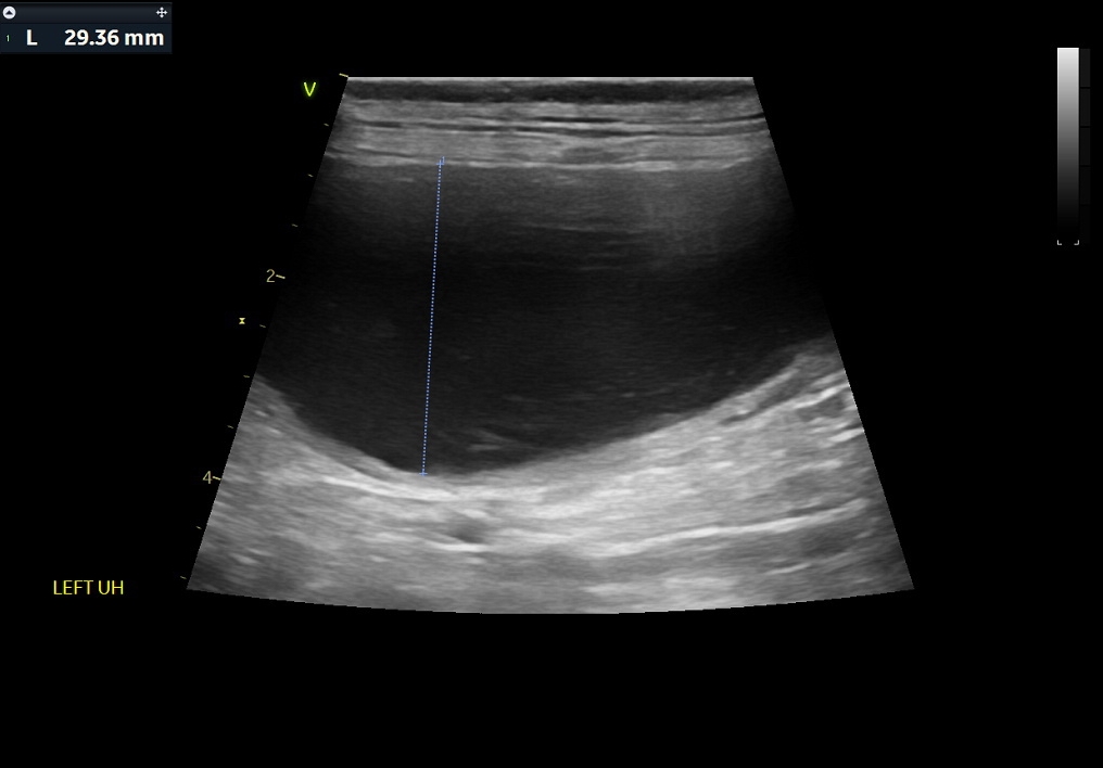
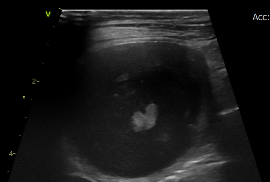
복부초음파 결과 / 출처: 24시온숲동물의료센터


복부 방사선 검사 결과 / 출처: 24시온숲동물의료센터


흉부 방사선 검사 결과 / 출처:24시온숲동물의료센터
복부초음파·방사선검사 결과
- 내원 당시 시행한 복부 초음파 및 방사선 검사에서 정상적으로는 4mm 정도 두께인 자궁이 약 4cm까지 심하게 확장되어 있는 모습이 확인되었습니다. 내부에는 고름으로 추정되는 내용물이 가득 차 있었으며, 이는 전형적인 자궁축농증의 소견에 해당합니다.
환자는 즉시 수액 치료를 진행해 수분·전해질 균형을 맞추고, 상태를 안정시킨 후 자궁·난소 적출 수술(Ovariohysterectomy, OHE) 을 결정했습니다.

자궁축농증 수술 사진 / 온숲동물의료센터

자궁 내 분비물 / 출처: 온숲동물의료센터

자궁 적출 및 수술 사진 / 출처: 온숲 동물의료센터
.jpeg?type=w466)
.jpeg?type=w466)
수술은 저희 김영웅 대표원장님과 정형운 대표원장님이 직접 집도하셨습니다.
심하게 확장된 자궁은 안전하게 제거되었으며, 수술은 무사히 마무리되었습니다.

수술 직후 아이는 빠르게 회복해 그날 저녁부터 스스로 식사를 시작했습니다.

이후 CRP 수치는 0.3mg/L까지 정상 범위로 회복되었고, 염증 반응이 안정화되었습니다.
약 5일간의 입원 치료 동안 활력·식욕·체온·소변량을 매일 체크하며 합병증 여부를 면밀히 관리했습니다.
집중적인 수액 치료·항생제·통증 조절·영양 공급을 병행한 결과, 환자는 무사히 퇴원해 보호자 품으로 돌아갈 수 있었습니다.
자궁축농증이 응급인 이유
자궁축농증은 단순한 자궁 질환이 아닌, 온몸을 위협하는 전신 질환입니다.
- 자궁 내 고름이 세균·독소와 함께 혈류로 유입
- 패혈증, 신부전, 복막염으로 진행
- 치료하지 않으면 수 시간~수일 내 급사 가능
따라서 “며칠 지켜보자”라는 접근은 매우 위험합니다. 즉시 수술만이 확실한 치료법입니다.
자궁축농증 예방 방법
자궁축농증은 예방이 가능한 질환입니다.
중성화 수술(OHE) 진행
- 가장 확실한 예방법은 중성화 수술입니다.
- 발정 전 중성화를 하면 유방 종양 위험도 함께 낮아집니다.
정기 검진
- 노령견일수록 최소 6개월~1년에 한 번
초음파 검사를 통해 자궁 상태를 확인하는 것이 좋습니다.
이상 신호 조기 발견
- 기력 저하, 다뇨·다갈, 식욕 부진이 보이면 즉시 검진을 받는 것이 중요합니다.
중성화하지 않은 암컷 강아지는 나이가 들수록 자궁축농증 위험이 커집니다.
겉으로는 단순한 피로처럼 보이는 증상이 사실은 치명적인 응급질환의 신호일 수 있습니다.
“기력이 없다, 물을 많이 마신다, 밥을 잘 안 먹는다” 같은 증상이 보이면 미루지 말고 검진을 받으시길 권장드립니다
온숲동물의료센터는 24시간 전문 의료진이 상주하며, 자궁축농증을 포함한 응급 상황에 즉시 대응할 수 있는 체계를 갖추고 있습니다.
24시온숲동물의료센터는 강남구 역삼동에 위치해 있으며, 언제나 열려있는 24시동물병원입니다.
갑작스러운 사고, 응급상황에도 신속하게 대응할 수 있도록 숙련된 의료진과 응급 장비를 항상 준비하고 있습니다.
보호자와 아이 모두 안심할 수 있는 따뜻한 진료, 24시온숲동물의료센터가 함께합니다.




