안녕하세요, 한티역 동물병원 24시 온숲동물의료센터입니다.
“이미 중성화를 했는데, 유선종양이 생길 수 있나요?”
많은 보호자분들이 이렇게 물어보십니다. 하지만 중성화를 했더라도 유선종양은 발생할 수 있습니다. 유선종양의 원인과 증상, 그리고 실제 온숲동물의료센터에서 치료한 13살 중성화 푸들의 유선종양 수술 사례를 소개해드리겠습니다.

강아지 유선종양 수술 사례 – 13살의 중성화한 푸들
이번 환자는 13살의 중성화한 암컷 푸들로, 보호자분이 “배 쪽에 단단한 혹이 만져진다”며 내원하셨습니다.
강아지 유선종양 진단
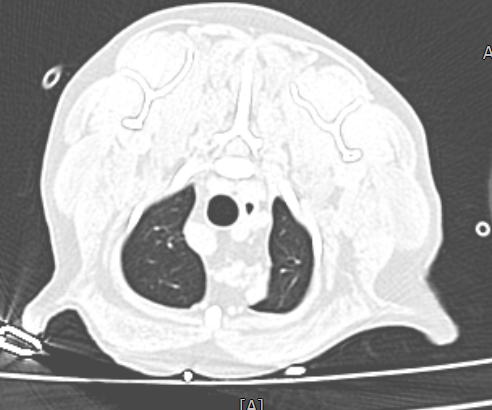
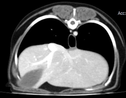
신체검사 및 영상검사 결과, 우측 5번 유선에 종양이 확인되었고, 3~5번 유선이 서로 연결되어 있어 부분 절제 시 재발 위험이 높았습니다. 이에 따라 우측 3~5번 유선 절제술을 계획하였고, 본원 영상진단센터에서 전이 평가를 위해 전신 CT를 촬영하였습니다.


유선종양 CT 결과 / 출처: 24시 온숲동물의료센터
CT 결과, 폐·복부 장기 등 타 장기로의 전이는 확인되지 않았습니다.
이는 유선종양이 국소 부위에 국한된 상태로, 수술을 통한 완전 절제가 가능하다는 판단을 내릴 수 있었습니다.
온숲동물의료센터는 병원 내 자체 CT 장비를 보유하고 있어 유선종양 환자의 전이 평가부터 수술 후 CT 추적관리까지 원스톱으로 진행할 수 있습니다.
강아지 유선종양 수술
13살의 고령이었지만, 심장 초음파·혈액검사·흉부 방사선 등 사전 평가를 철저히 진행한 후 안전한 전신마취 하에 수술이 진행되었습니다.


유선종양 수술사진 / 출처: 24시온숲동물의료센터

제거된 종양 사진 / 출처: 24시온숲동물의료센터
수술은 출혈 없이 안정적으로 마무리되었으며, 종양과 주변 조직이 완전히 제거되었습니다.
제거된 종양은 병리조직검사를 위해 의뢰하였습니다.
수술 후 환자는 온숲 의료진의 세심한 입원 관리 아래 수액치료, 통증 조절, 항생제 치료를 병행하여 안정적으로 회복 후 퇴원했습니다.
조직검사 결과

Mammary gland, carcinoma (Grade I), mixed type
→ 저등급의 악성 유선암으로 진단
초기 단계에서 완전 절제가 이루어졌으나, 악성종양의 특성상 향후 재발 및 전이 가능성이 있어 정기적인 CT 추적 관찰이 필요합니다.
유선종양이란?
유선종양(Mammary Tumor)은 암컷 강아지에서 가장 흔히 발생하는 종양 중 하나로, 유선에 혹이 생기는 질환입니다. 호르몬 변화, 유전, 노화, 비만 등이 주요 원인으로 중성화를 하지 않은 강아지에서 더 자주 발생하지만, 중성화를 한 경우에도 완전한 예방은 어렵습니다. 특히 7세 이상 노령견에서는 세포 변형 가능성이 높아 중성화 여부와 관계없이 발생할 수 있습니다.
유선종양의 주요 증상
- 유선 부위에 작고 단단한 혹 만져짐
- 유두 주변 발적, 부종, 진물
- 종양 부위 궤양, 통증, 냄새
- 진행 시 식욕 감소, 체중 감소, 호흡곤란(폐 전이 시)
작은 혹이라도 보인다면 즉시 검진이 필요합니다.

강아지 유선종양 예방법
유선종양은 완전한 예방이 어렵지만, 발병 위험을 크게 줄일 수 있습니다.
1️⃣ 첫 발정 전에 중성화 수술을 진행하세요.
→ 첫 발정 전 중성화를 하면 유선종양 발생 확률이 0.05% 이하로 낮아집니다.
2️⃣ 정기적인 건강검진을 받아보세요.
→ 6세 이후에는 6개월~1년 주기 초음파 검진을 통해 유선과 자궁, 난소를 함께 확인하는 것이 좋습니다.

3️⃣ 유선 부위를 자주 만져 확인하세요.
→ 목욕이나 미용 시 유선 부위를 손으로 부드럽게 눌러 혹이 있는지 체크하세요.
4️⃣ 비만을 예방하세요.
→ 과체중은 호르몬 불균형을 유발해 종양 발생률을 높입니다.
보호자분께 꼭 전하고 싶은 세 가지
✅ 1. 중성화를 했더라도 유선종양은 생길 수 있습니다.
중성화 수술은 유선종양의 위험을 낮출 수 있지만, 완전한 예방책은 아닙니다. 나이, 유전, 호르몬 변화 등 다양한 요인으로 인해 중성화한 강아지에서도 유선종양이 발생할 수 있으므로 정기적인 검진이 필수입니다.
✅ 2. 고령견도 안전하게 수술 및 마취가 가능합니다.
노령견이라도 정밀한 사전 검사와 체계적인 마취 관리가 이루어진다면 안전하게 수술을 진행할 수 있습니다. 24시 온숲동물의료센터는 숙련된 의료진과 전문 마취 모니터링 시스템을 갖추어 노령견의 상태에 맞춘 안전한 수술 환경을 제공합니다.
✅ 3. CT를 통한 정밀한 추적 관리가 가능합니다.
온숲동물의료센터는 CT, 초음파, 혈액검사 등 첨단 영상 장비를 모두 보유하고 있어 유선종양의 전이 평가부터 수술 후 추적 검사까지 원스톱으로 진행할 수 있습니다. 이를 통해 재발을 조기에 발견하고 장기적인 건강 관리까지 체계적으로 이어갈 수 있습니다.
유선종양은 중성화를 마친 강아지에서도 발생할 수 있습니다. 하지만 조기 진단과 정확한 수술, 그리고 철저한 추적 관리를 통해
아이의 건강은 충분히 회복될 수 있습니다. 아이의 생명을 지키는 가장 중요한 한 걸음, 온숲이 끝까지 함께하겠습니다.
24시온숲동물의료센터는 강남구 역삼동에 위치해 있으며, 언제나 열려있는 24시동물병원입니다.
갑작스러운 사고, 응급상황에도 신속하게 대응할 수 있도록 숙련된 의료진과 응급 장비를 항상 준비하고 있습니다.
보호자와 아이 모두 안심할 수 있는 따뜻한 진료, 24시온숲동물의료센터가 함께합니다.




