안녕하세요. 강남 동물병원 24시온숲동물의료센터입니다.
혹시 산책 중 강아지가 갑자기 한쪽 다리를 들고 절뚝거리거나, 잘 걷지 않으려는 모습을 보인 적 있으신가요? 처음엔 ‘살짝 삐끗했나?’ 싶어 넘기기 쉽지만, 이런 증상이 반복된다면 ‘십자인대 파열(Cranial Cruciate Ligament Rupture)’ 가능성을 꼭 확인해야 합니다. 오늘은 강아지 십자인대 파열의 증상부터 진단, 치료 방법까지 단계별로 알려드리겠습니다.

십자인대 파열이란?
강아지의 십자인대는 무릎 관절 내부에서 허벅지뼈(대퇴골)와 정강이뼈(경골)를 단단히 이어주는 구조물로, 무릎이 앞뒤로 흔들리거나 회전하지 않도록 관절의 중심을 잡아주는 역할을 합니다.
- 전십자인대(CrCL): 정강이뼈가 앞쪽으로 밀리는 것을 막아줍니다.
- 후십자인대(CaCL): 정강이뼈가 뒤로 밀리지 않게 지탱합니다.

이 중 전십자인대 파열이 많은 경우를 차지하며, 손상 시 관절이 불안정해지고 통증과 염증이 생겨 다리를 절뚝거리거나 디딜 수 없게 되는 증상이 나타납니다. 이러한 문제는 소형견부터 대형견까지 모든 견종에서 발생할 수 있습니다.
십자인대 파열의 원인
- 노화 및 퇴행성 변화
나이가 들면서 인대의 탄력과 강도가 떨어져 쉽게 끊어질 수 있습니다. - 비만
체중이 많이 나가면 무릎 관절에 지속적인 압력이 가해져 인대 손상을 유발합니다. - 격한 활동 또는 점프, 미끄러짐
갑작스러운 회전이나 점프 동작은 인대에 큰 부담을 줍니다. - 해부학적 요인
일부 소형견(말티즈, 푸들, 포메라니안 등)은 무릎 관절 구조상 십자인대에 지속적인 긴장이 가해져 파열 위험이 높습니다.

십자인대 파열의 주요 증상
- 산책 중 또는 격한 운동 후 다리를 갑자기 들고 절뚝거림
- 앉을 때 다리를 한쪽으로 뻗은 자세
- 계단 오르내릴 때 주저하거나 통증 호소
- 뒷다리 근육이 점차 위축
- 무릎 부위 붓기 또는 통증
초기에는 절뚝거림이 잠시 나타났다가 괜찮아지는 것처럼 보일 수 있으나, 인대가 부분적으로 손상된 상태에서 방치하면 완전 파열로 진행되며 더 큰 통증과 관절염으로 이어질 수 있습니다.

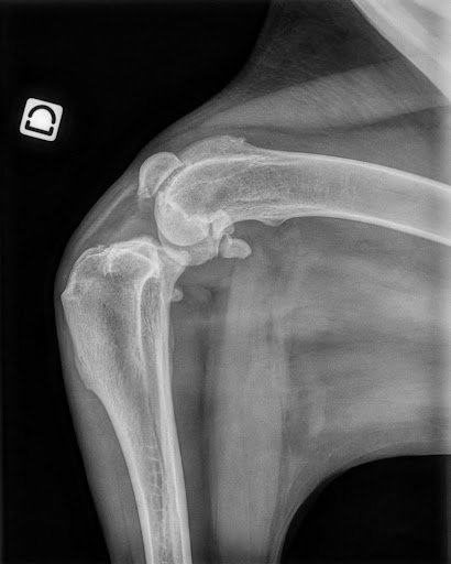
십자인대 파열 진단 과정
십자인대 손상은 외관상으로만 판단하기 어렵기 때문에 다음과 같은 정밀 검사를 통해 정확히 진단합니다.
정형외과 신체검사 (Draw Test, Tibial Compression Test)
무릎 관절의 앞뒤 움직임을 통해 십자인대 손상 여부를 평가합니다.
방사선 검사 (X-ray)
관절 간격의 변화나 경골의 위치 이동 등을 통해 손상 가능성을 추정할 수 있습니다.

십자인대 파열 치료 방법
1️⃣ 보존적 치료
- 안정 및 운동 제한 (2~4주)
- 소염진통제, 관절보호제 투여
- 체중 감량 및 슬개골·허벅지 근육 강화 운동
- 미끄럽지 않은 환경 조성
단, 보존적 치료는 소형견의 부분 파열에서만 제한적으로 적용됩니다.
2️⃣수술적 치료
강아지 십자인대 파열은 시간이 지나더라도 손상된 인대가 자연적으로 회복되지 않기 때문에, 수술적 치료가 원칙입니다. 다만, 모든 아이에게 동일한 수술법이 적용되는 것은 아닙니다. 강아지의 체중, 나이, 활동량, 관절 상태 등에 따라 선택되는 수술법이 달라질 수 있으며, 각 방법마다 고유한 장점과 회복 특성이 있습니다.
따라서 수의사는 아이의 전반적인 상태를 종합적으로 평가한 뒤, 가장 안전하고 효과적인 수술 방법을 결정하게 됩니다.
✔️ TPLO (경골평면교정술)
✔️ TTA (경골조면이동술)
✔️ 엑스트라캐필러리 수술 (외측봉합술)
이처럼 다양한 수술 방법 중 어떤 치료가 가장 적합한지는 전문적인 진단과 수술 경험이 뒷받침되어야 합니다.
24시온숲동물의료센터는 외과박사 원장님이 직접 집도하는 정확한 수술과
재활팀장님의 체계적인 재활 훈련을 통해
수술 후 회복까지 한 곳에서 전문적으로 관리하고 있습니다.

수술 후 회복 및 관리
수술 후에는 다음과 같은 관리가 매우 중요합니다.
✔️ 운동 제한
수술 부위가 안정적으로 회복될 때까지 최소 6~8주간은 충분한 안정이 필요합니다.
실내에서도 미끄럼 방지 매트를 깔고 활동을 제한해 주세요.
✔️ 체중 관리
비만은 수술 부위에 부담을 주어 재파열이나 반대편 인대 손상의 주요 원인이 됩니다.
체중이 증가하지 않도록 식사량을 조절하고, 수의사와 상의하여 저지방·고단백 처방식을 활용하는 것이 좋습니다.
✔️ 재활치료
회복 속도를 높이기 위해 레이저 치료나 부드러운 스트레칭 등의 재활치료가 도움이 됩니다.
이러한 치료는 근육 위축을 방지하고 관절 가동 범위를 개선하는 데 효과적입니다.
✔️ 정기검진
수술 후에는 정기적인 검진을 통해 회복 상태를 확인하는 것이 중요합니다.
수술 부위의 치유 상태와 관절염 여부를 주기적으로 점검하며, 필요 시 방사선 검사를 통해 인대와 뼈의 회복 정도를 평가합니다.

강아지의 십자인대 파열은 단순한 ‘삐끗’으로 보일 수 있지만, 방치하면 만성 통증과 관절염으로 이어져 다리 기능에 영향을 줄 수 있습니다. 따라서 조기 진단과 수술 후 체계적인 재활 관리가 무엇보다 중요합니다. 혹시 산책 후 다리를 절뚝이거나 한쪽 다리를 들고 걷는 모습을 보인다면, 지체하지 말고 전문적인 검진을 받아보시길 권장드립니다.
24시온숲동물의료센터는 강남구 역삼동에 위치해 있으며, 언제나 열려있는 24시동물병원입니다.
갑작스러운 사고, 응급상황에도 신속하게 대응할 수 있도록 숙련된 의료진과 응급 장비를 항상 준비하고 있습니다.
보호자와 아이 모두 안심할 수 있는 따뜻한 진료, 24시온숲동물의료센터가 함께합니다.




