안녕하세요. 강남 24시 동물병원 24시온숲동물의료센터입니다.
강아지가 소변을 보지 못하거나 피가 섞여 나온다면, 단순한 방광염이 아니라 방광결석으로 인한 요도 폐색일 수 있습니다. 이번 글에서는 실제로 내원한 방광결석 환자 케이스와 함께, 결석 재발을 막기 위한 관리법을 함께 살펴보겠습니다.

방광결석 수술 케이스 – 14살 말티즈 환자
환자는 14살의 중성화 암컷 말티즈로 보호자님께서는 “소변을 전혀 보지 못한다”는 증상으로 응급 내원하셨습니다.
진단 및 검사

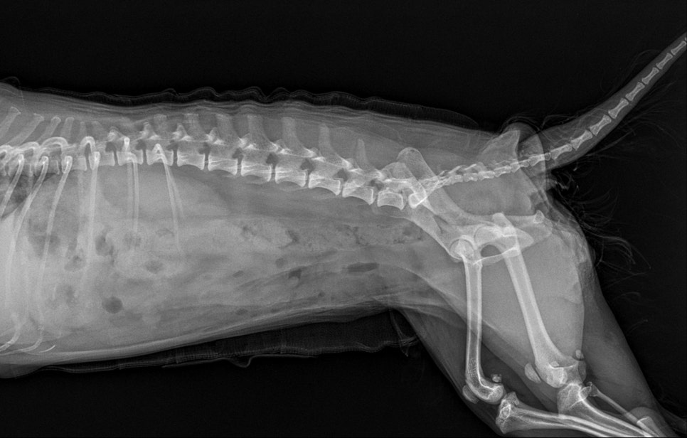
내원 당시 방사선 검사 결과 / 출처: 24시온숲동물의료센터

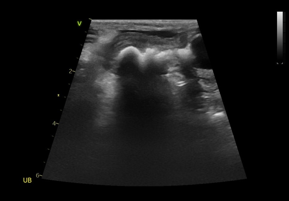
내원 당시 초음파 검사 결과 / 출처: 24시온숲동물의료센터
응급 진료 후 방사선(X-ray)과 초음파 검사 결과, 요도를 막고 있는 큰 결석이 확인되었으며, 이 결석이 요도를 막고 있어 소변 배출이 불가능한 상태였습니다.
응급 치료
요도 결석으로 인해 소변이 배출되지 않아, 의료진은 방광천자를 통해 일시적으로 소변을 배출시켜 환자의 상태를 안정화하였습니다.

이후 요도에 뇨카테터를 장착하여 지속적인 배뇨를 유지했으며, 방광천자 과정에서 결석으로 인한 방광 내벽 손상으로 혈뇨가 함께 관찰되었습니다. 충분한 상담 후 환자는 방광결석 제거 수술을 진행하기로 결정했습니다.
방광결석 수술


수술은 원장님이 직접 집도하였으며, 방광을 절개해 내부 결석을 모두 제거했습니다.
방광 절개 후 결석을 모두 제거한 뒤, 봉합 부위의 밀폐 상태를 확인하기 위해 ‘Leakage test’를 진행했습니다.

방광 안에 식염수를 주입해 누출이 없는지 꼼꼼히 확인했으며, 정상적으로 봉합이 잘 이루어진 것을 확인했습니다.

수술 후 방사선 사진 / 출처: 24시 온숲동물의료센터
수술 후 방사선 검사에서 결석이 모두 제거된 상태로 확인되었습니다. 수술 직후부터 의료진이 염증 수치와 전신 상태를 면밀히 관찰하며 회복을 도왔습니다. 며칠간의 집중 케어 후 염증 수치가 정상 범위로 회복되었고, 강아지도 안정된 모습으로 퇴원했습니다.현재는 소변 배출이 원활하고 전반적인 상태가 호전된 모습을 보이고 있습니다.
방광결석이 생기는 이유
방광결석은 소변 속 미네랄이 침전되어 단단히 굳는 질환으로, 다음과 같은 원인으로 발생합니다.
수분 섭취 부족으로 인한 소변 농축
요로감염 및 세균 증식
소변 pH의 불균형(산성·알칼리성 편향)
고단백, 고미네랄 식단
배뇨 횟수 감소

노령견이나 수컷 강아지는 요도가 좁기 때문에 결석이 쉽게 걸려 소변이 전혀 배출되지 않을 수 있습니다. 이 경우 빠른 응급 처치가 생명을 살리는 핵심입니다.
수술 후 재발 방지 관리법
방광결석은 수술로 제거하더라도 생활습관이 개선되지 않으면 재발률이 매우 높습니다.
1️⃣ 수분 섭취 늘리기
– 집안 곳곳에 물그릇을 여러 개 구비해주세요.
– 강아지가 충분한 수분을 섭취할 수 있도록, 수분 함량이 많은 습식 사료를 급여하거나 사료에 따뜻한 물을 함께 섞어주는 방법이 좋습니다.
– 자동 급수기로 신선한 물을 제공해주는 것도 방법입니다.

2️⃣ 처방식 급여
– 결석 성분(스트루바이트, 칼슘옥살레이트 등)에 따라 요 pH를 조절하는 전용 처방식을 꾸준히 급여해야 합니다.
– 사람 음식, 미네랄 보충제, 고단백 간식은 피하세요.
3️⃣ 배뇨 패턴 관찰
– 소변의 색, 양, 횟수를 꾸준히 기록하고, 혈뇨·배뇨 자세 이상이 보이면 즉시 병원 내원이 필요합니다.
4️⃣ 정기 초음파·소변검사
– 수술 후 1~2개월 내 추적검사로 잔석 여부를 확인하고, 이후 3~6개월마다 소변검사로 재발 여부를 모니터링해야 합니다.
24시온숲동물의료센터에서는 결석 제거 후에도 재발을 최소화하기 위한 통합 관리 프로그램을 운영하고 있습니다.
– 결석 분석 및 식이 코칭
– 정기 초음파 추적 및 소변 pH 관리
– 염증 개선과 통증 완화를 위한 약물·수액 요법
– 요도 폐색 응급 대응 24시간 체계
또한 분과별 전문 의료진이 상주하고, 외과학 박사 원장님의 직접 진료와 집도로 고난도 외과 수술까지 체계적으로 진행됩니다.
노령견의 마취 안전성 확보와 회복 관리에도 풍부한 임상 경험을 바탕으로, 나이가 많은 반려견도 위험 부담을 최소화한 환경에서 안전하게 수술받을 수 있습니다. 야간이나 휴일에도 의료진이 상주하여 응급상황에 신속하게 대응할 수 있습니다.
강아지가 소변을 보지 못하거나 혈뇨를 보인다면 단순한 염증이 아니라 요로 폐쇄로 인한 응급상황일 수 있습니다. 조기에 내원해 치료받는다면, 결석 제거 후에도 건강한 배뇨 습관으로 회복이 가능합니다. 응급부터 재발 관리까지, 24시온숲동물의료센터가 함께하겠습니다.
24시온숲동물의료센터는 강남구 역삼동에 위치해 있으며, 언제나 열려있는 24시동물병원입니다.
갑작스러운 사고, 응급상황에도 신속하게 대응할 수 있도록 숙련된 의료진과 응급 장비를 항상 준비하고 있습니다.
보호자와 아이 모두 안심할 수 있는 따뜻한 진료, 24시온숲동물의료센터가 함께합니다.





