안녕하세요, 한티역 동물병원 24시온숲동물의료센터입니다.
중대형견을 키우는 보호자님들이라면 한 번쯤 들어보셨을 고관절 이형성증(Canine Hip Dysplasia)은 일상에서 보이는 작은 걸음 변화로도 시작될 수 있는 대표적인 관절 질환입니다. 초기에는 증상이 눈에 잘 띄지 않지만, 관절이 손상되는 속도는 생각보다 빠르기 때문에 어떤 신호를 주의해야 하는지, 언제 수술을 고려해야 하는지 정확히 아는것이 중요합니다.
오늘은 고관절 이형성의 증상, 진단 과정, 그리고 수술을 결정하는 기준과 수술법까지 차례로 정리해드리겠습니다.

고관절은 어떤 관절일까?
강아지의 고관절은 골반(비구) 과 대퇴골두가 만나 이루는 관절로, 걷기·뛰기·앉기·일어서기 같은 기본 움직임을 모두 담당하는 매우 중요한 부위입니다. 공(ball) 모양의 대퇴골두가 컵(socket)처럼 생긴 골반 안에 정확히 맞아야 관절이 부드럽고 안정적으로 움직일 수 있습니다.
하지만 성장 과정에서 구조가 정상적으로 발달하지 않거나 관절이 느슨해지면 고관절이 흔들리며 통증·절뚝거림·관절염으로 이어지게 됩니다.
강아지 고관절 이형성의 대표 증상
초기에는 아주 미세한 걸음 변화만 보여 보호자가 놓치기 쉽습니다. 다음과 같은 증상이 반복된다면 고관절 문제를 의심해봐야 합니다.
토끼 뜀(hopping gait)
산책 후 뒷다리 절뚝거림
엉덩이를 좌우로 흔드는 ‘웨들링 보행’
앉거나 일어날 때 불편해하는 모습
뒷다리 근육량 감소
이러한 신호는 관절이 흔들리고 통증이 발생하기 시작했다는 의미입니다.

고관절 이형성, 어떻게 진단할까?
정확한 진단은 치료 방향을 결정하는 데 매우 중요합니다.
1) 신체검사
수의사가 관절의 안정성, 통증 반응, 다리 길이 차이, 관절 가동 범위 등을 확인합니다. ‘Ortolani 테스트’를 통해 관절이 쉽게 어긋나는지 여부를 직접 확인할 수도 있습니다.
2) 방사선 검사(X-ray)
가장 기본이 되는 검사이며, 뼈와 관절의 모양, 관절면 간격, 아탈구 여부, 골극 형성 등을 확인합니다. 특히 Norberg 각도를 통해 관절 안정성을 객관적으로 평가하게 됩니다.

3) PennHIP 검사
대형견에게 많이 적용되는 검사로, 관절 이완 정도를 수치화해 고관절 이형성의 진행 가능성을 조기에 파악할 수 있는 장점이 있습니다. 6개월령 전후에도 정확한 수치가 나오기 때문에 예방적 치료 판단에 매우 도움이 됩니다.
수술이 필요한 기준은 무엇일까?
고관절 이형성이 있다고 해서 모두 수술을 하는 것은 아닙니다. 아래 상황 중 하나라도 해당된다면 수술적 치료를 고려해야 합니다.
- 약물·재활치료에도 통증이 계속되는 경우
- X-ray 등 영상검사에서 관절 변형이 명확한 경우
- 말기 관절염으로 통증 조절이 되지 않을 때
- 10~12개월 이하 어린 나이인데 관절 이완이 심한 경우
성장기 아이가 심한 이완을 보일 때는 제때 교정하지 않으면 관절염이 빠르게 진행될 수 있어 조기 판단이 매우 중요합니다.
1) TPO / DPO (골반 교정술)
성장판이 아직 닫히지 않은 어린 강아지에게 적용하는 조기 교정 수술입니다. 골반 뼈를 절골하여 관절이 더 잘 맞물리도록 각도를 조정해 주는 방식으로, 관절의 안정성을 높여 향후 관절염 진행을 효과적으로 예방할 수 있습니다. 조기에 진단된 고관절 이형성에서 가장 이상적인 방식으로 평가됩니다.
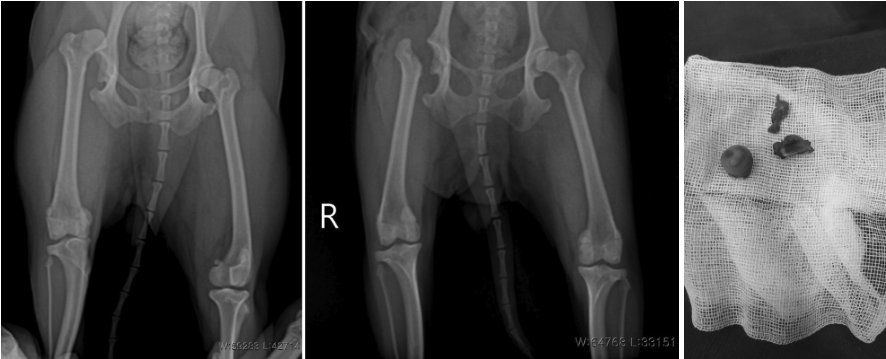
2) FHO (대퇴골두 절제술)
관절 통증의 원인이 되는 대퇴골두(공 모양의 뼈 부분)를 제거하는 수술입니다. 관절 구조는 남지 않지만, 마찰을 일으키는 부위를 없애기 때문에 통증 개선 효과가 크며, 소형견 또는 체중이 가벼운 중형견에서 좋은 결과를 보입니다. 관절 변형이 심하거나 만성 관절염이 동반된 경우에 선택되는 수술입니다.

FHO 수술 전/후 방사선 사진 / 출처: 24시온숲동물의료센터

3) THR (Total Hip Replacement, 인공관절 치환술)
손상된 고관절을 제거하고 금속·세라믹 인공관절로 교체하는 수술법입니다. 통증 감소와 보행 회복 효과가 매우 뛰어나며, 대형견, 중증 관절염, 만성 통증이 있는 환자에서 높은 만족도를 보입니다. 수술 후 재활을 병행하면 일상생활로의 복귀가 빠른 편입니다.
고관절 이형성 예후와 치료 후 관리
고관절 이형성은 조기 진단과 꾸준한 치료만 잘 이루어진다면 충분히 통증을 줄이고 편안한 보행을 유지할 수 있는 질환입니다.
✔ 예후는 이렇게 달라집니다
– 초기 발견 시 약물·재활·환경 관리로 관절염 진행을 크게 늦출 수 있습니다.
– 중기 단계는 통증 조절과 재활치료가 삶의 질에 큰 영향을 줍니다.
– 수술 후에는 TPO/DPO, FHO, THR 모두 재활을 병행하면 산책·계단 오르기 등 일상 활동이 충분히 가능합니다
✔ 치료 후 관리에서 중요한 포인트
1) 체중 관리
고관절 부담을 줄이는 가장 확실한 방법입니다.
2) 재활 운동 유지
근력 강화·스트레칭·수중 러닝머신 등은 보행 안정성 회복에 필수입니다.
3) 생활환경 개선
미끄럼 방지 매트
높은 곳 점프 제한
계단 사용 줄이기
짧고 규칙적인 활동 유지
이런 작은 변화들이 통증 감소에 큰 도움이 됩니다.
4) 정기적인 모니터링
수술 여부와 상관없이 정기적으로 X-ray 및 진료 상담을 통해 관절 상태를 체크해야 합니다.

강아지 고관절 이형성은 완치의 개념보다는 평생 관리하는 질환이지만, 통증 조절·체중 유지 ·재활치료·생활환경 관리만 꾸준히 이어간다면 강아지는 다시 편안하게 걷고, 산책을 즐기며 일상을 건강하게 보낼 수 있습니다. 아이가 건강하게 걸을 수 있도록 24시온숲동물의료센터가 함께하겠습니다.
온숲동물의료센터에는 외과 전공 수의사와 재활치료 전담 실장이 함께 상주하고 있어, 고관절 이형성 환자에게 필요한 TPO·FHO·THR 등 고관절 수술 후 재활 프로그램을 아이의 관절 상태와 보행 패턴에 맞춰 정교하게 설계합니다.
24시온숲동물의료센터는 강남구 역삼동에 위치해 있으며,언제나 열려있는 24시동물병원입니다.
갑작스러운 사고, 응급상황에도 신속하게 대응할 수 있도록 숙련된 의료진과 응급 장비를 항상 준비하고 있습니다.
보호자와 아이 모두 안심할 수 있는 따뜻한 진료, 24시온숲동물의료센터가 함께합니다.





